Activity Feed

Show
by
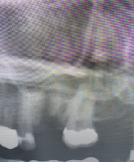
  • Not the best outcome… dont really know why. So I completed this implant with sinus bump using the Densah system about a month ago. Everything went pretty straightforward. Got my little lift and placed the implant with great (maybe too great) insertion torque it measured out at about 60ish but i remember wanting the implant just a little more…

    Read more

    Jedediah, Ivan and Erick
    8 Comments
    View more comments
    • What size was the implant?

      1
      • And what was the torque when it went in? Randon stuff happens but I’d graft and come back in after a few months. Keep 1.5 mm around the implant with good irrigation

        1
        • View more comments
      • LOST ROOT TIP

        To piggyback on the theme of @RYAN ‘s WTF Wednesday post... Take a look at this little complication.

        I extracted #14 by sectioning it, however a little piece of root tip fractured off of the palatal root. I considered leaving it, but figured I would try one last time with the root tip pick. As I reached for the root tip and gave it…

        Read more

        What should we do about the root tip?

        0%
        20%
        80%
        This is already an option
        Jedediah and dtberat_dds
        6 Comments
        View more comments
        • WTF is right!

          Sounds like it’s time to find a new OS to refer to.. that’s ridiculous how they handled it

          Is a root tip in the sinus usually handled like a tooth displaced into the infratemporal fossa? Let it fibrose? Or do they usually like to go after them in the sinus right away?

          1
          • I am not a fan of leaving root tips behind so I’m sure I would’ve done the same and ended up in the same boat!

            I would have called another OS to get the patient in right away though. If the OS isn’t available same day for cases like this.. then they won’t be getting my referrals anymore.

            1
            • View more comments
          • Ryan posted an update a year ago

            a year ago

            WIN WEDNESDAY started as WTF WEDNESDAY


            38yo Female

            #25 was lost in a car accident and replaced with this absolute beast of an implant @ 18yo

            Last month, the patient presented with #26 broken off at the gumline, so I extracted it with the intent to remove the existing crown on #25 and replace it with a new custom abutment, crown… Read more

            Wow
            jaya311, lewisluo and 3 others
            7 Comments
            • I’m still on the edge of my seat here man! Did you have a replacement screw? 🍿

              • View 1 reply
            • Not a fan of cantilever because it overloads the base implant to carry more weight and pressure than it was intended to, so that’s why I always avoid such a treatment plan. Now I do understand that we always have to work with what we are presented with and the problem with the case here is that the implant was supposed to be at a different angle… Read more

              1
              • View 4 replies
          • Ivan posted an update a year ago

            a year ago

            Two Cents Tuesdays:

            What’s some of the best advice you’ve ever been given? Or wish you had been given 10 years ago?

            Jedediah, Khurrum and 2 others
            6 Comments
            View more comments
            • “Dont eat yellow snow.”

              jk Advice my granddad gave me: “theres nothing more permanent than a temporary solution. So do it right the first time!”

              Laugh
              2
              • In residency, one of the attending oral surgeons told me, “Nobody cares more about you than you.”

                It helped me to realize that if you want to do something, you’re the only one stopping you. Gotta make things happen for yourself and not count on any outside help, luck, or special circumstance. And also that you have to make sure to take care…

                Read more

                2
                • View more comments
              • Hi All,

                I am a beginner in implant world having little question regarding self tapping groove which i can not imagine sometime ivan said it does not make sense and sometime the opposite!!? Can anyone explain with pics

                Thnx

                Jedediah and Ivan
                2 Comments
                • Thanks for the question! Okay so bear with me. The concept is actually much simpler than it seems. The best way to understand it is to look in the hardware store.

                  There are some nuances about drill design that push the wood shavings in particular directions.

                  Check out this video and let me know what you think! After you watch it, comment here…

                  Read more

                  1
                  • View 1 reply
              • I know this is an implant study club but I wanted to share a disappointment I had in my most recent bone graft. Patient came in for second opinion and after going over options and non restorable #31 I extracted and grafted the site. Post op PA showed that the M canal and defect was still present. This did have a buccal wall defect and I placed…

                Read more

                Jedediah, Alvin and Ivan
                16 Comments
                View more comments
                • So, when you say you decided to go back and pack more bone, do you mean you did that in the same appointment?

                  And how big was the defect on the buccal wall? I’m guessing it must’ve been pretty substantial.

                  1
                  • View 1 reply
                • Here there Khurrum I’d love to hear the play by play for this case. Can you walk us through the exact steps you performed for this graft?

                  Also, do you routinely do rebuilds when there are buccal wall defects? I’d love a little more info to try to give you the best feedback I can 🙂

                  1
                  • View more comments
                • Overwhelming case!!!

                  New patient exam. 62 yo female no remarkable medical history.

                  Patient’s CC: “My top teeth are failing, I want to fix them but I want something that is not removable”

                  Maxillary arch: 5 implants – 3 restored

                  Mandibular arch: Kennedy class 2, severe anterior attrition

                  Implants were placed by a periodontist.

                  Maxillary teeth…

                  Read more

                  Love
                  Jedediah, Nolan and Ivan
                  8 Comments
                  View more comments
                  • Wow, this looks like a challenging case!

                    Definitely needs a full mouth restoration and getting back that lost vertical dimension. How did the patient feel about going for a full arch prosthesis on the maxilla?

                    1
                    • This one is very tough, but also a very solvable case.

                      Right off the bat, to start a case and see it through properly, I would ballpark the cost to be about $50,000 at least for her to complete treatment for both arches.

                      Not to say that she has to do the FULL treatment for everything right away. She can surely do the upper arch to ideal…

                      Read more

                      2
                      • View 2 replies
                    • View more comments
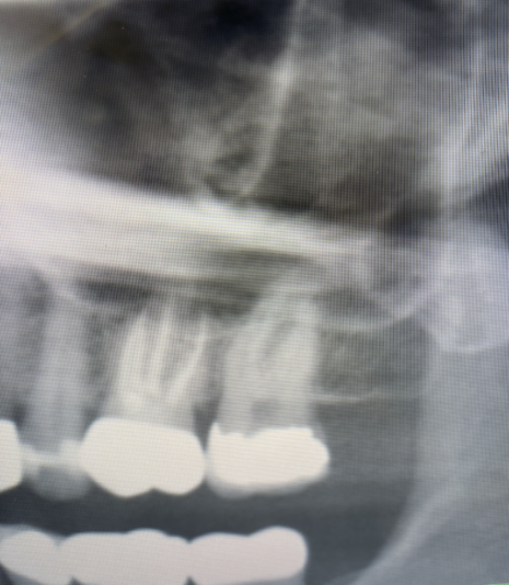
                  • Hello,

                    I recently placed an implant that I’m worried about the prognosis. My previous cases have all been free handed. I had my lab make a guide for this case. I ended up relying too much on the guide and placed the implant too close to the adjacent tooth (0.8mm). Has anyone else placed one this close and had it fail or be successfull? Im…

                    Read more

                    dtberat_dds, Jedediah and 5 others
                    9 Comments
                    View more comments
                    • Anecdotal Suggestion

                      While this situation can be super stressful, it doesn’t necessarily mean disaster.
                      Anecdotally, I have at times, and many others have placed implants closer than we wish we would have to adjacent teeth. It’s happened once or twice. And aside for a few sleepless nights, I (and the patient) have had zero issues from it.

                      <br…

                      Read more

                      Love
                      1
                      • Appropriate Next Steps?

                        In my humble opinion, the first thing is to take a step back and not stress too much. Thing will be okay.
                        Now, here are some potential options:

                        Option A: Take the implant out and re-do the implant placement. You still have time if you wan to do this.

                        Yes, it does feel stressful to explain to the patient why you want… Read more

                        • View 1 reply
                      • View more comments
                    • Hello everyone, wanted to ask a question that came to my mind. My colleague was doing a lateral window sinus lift after elevating the membrane, he mentioned he saw a small perforation in the mesial aspect. He then placed a resorbable collagen membrane like a parachute and compacted a little bit of bone not applying to much pressure. He did a…

                      Read more

                      Love
                      Jedediah, Nolan and 2 others
                      14 Comments
                      View more comments
                      • Hello Youssef, thank you for posting the question. Do you have any pictures of the CBCT?

                        My understanding is that if the sinus membrane was stabilized, and you grafted it, and the patient has low contraindications, blood clots are likely to turn into bone.

                        2
                        • I agree I think bone will form but it will take a long time to mature. If you wait only 6 mo the density may still be low. It is also possible to loose some height.

                          Love
                          3
                          • View 3 replies
                        • View more comments
                      • Load More