Activity Feed

Show
by
  • Reply to CBCT viewer/converter on Mac

    If my office only uses implant direct, how do I select for that implant on BSB?

  • About to do my first removal of a cemented implant crown (just the crown, the implant itself is fine).

    It’s a bone level implant with a cemented metall-ceramic crown on top. Do you have any recommendations/tips how to proceed?

    Thank a bunch in advance

    • CBCT viewer/converter on Mac

      Hi, I a received my CBCT file in DICOM format from the doc I work with that has a Cone beam. The issue I am running into is converting the DICOM into a file that I can open it in Blue Sky Bio. Do you have any recommendations on how I can convert the file? So far I can only view the file using a separate app called “Bee Dicom Viewer”. Thank…

      Read more

      Erick
    • Any strategies to help gain primary stability? Could u run the drill in reverse to help densify it. I removed this implant that failed.

      Cayleen, Alan and Erick
      0 Comments
    • New grad here….

      Have a patient with implants placed at 3 &4 several years ago but didn’t have the funds to restore them until now. Obviously, the anterior one doesn’t look so great radiographically (no bleeding inflammation, etc clinically). Both feel solid and pass the mirror-tapping test.

      Would you guys think #3 could still be restored?…

      Read more

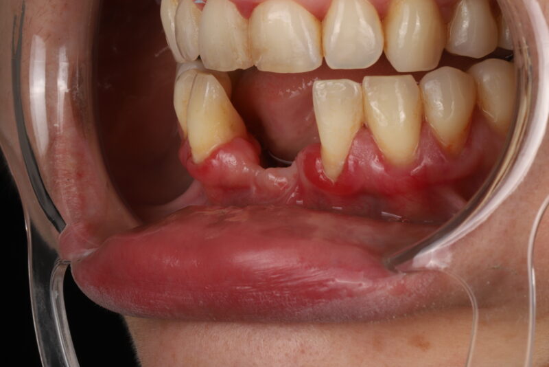
      • intraoral pic

        • I would remove them both and start over. The only way I’d restore 3 is if it was aware that it had less than 5 year prognosis. The issue was tissue thickness which was less than 2mm thick in all dimensions. I would just be honest with pt that their bone didn’t heal well and you’re concerned about long term prognosis. If they were hell bent I…

          Read more

        • This is a recent case that is failing and had adequate bone. I’ve attached a radiograph taken at placement, and another one taken a month after. The cover screw is not exposed, patient is not in pain but there is some purulence on palpation and crestal bone loss. Insertion torque was 35ncm. I had to use external irrigation for this…

          Read more

          • I think it wasn’t deep enough. ZBLC says we need 4mm from tissue to collar to prevent this bone loss. I would go back use the same site and if possible put in a 4.3 x8 . It looks like this implant was a 3.5 x 10. I bet if you hug the lingual you can put in a new 3.5 x 10 and countersink it.

            • View 1 reply
          • I took it out, cleaned the sige and replaced it. We shall see what happens

            • View 1 reply
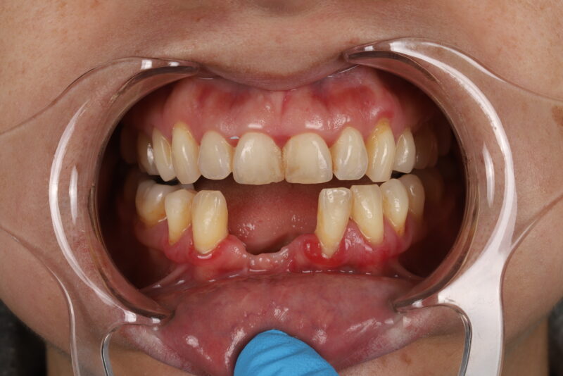
        • Hi guys. What are your thoughts about staging this case. Plan overall is ext #23 and 2 implant FPD with hard and soft tissue augmentation. Would you prefer to first do FGG to increase KT and vestibular depth prior to GBR or would you do the opposite and begin with hard tissue then soft tissue. If you were to do hard tissue first after…

          Read more

          • UCLA abutment Q. I didnt see until after case returned. I ordered the 4.5/4.3 diameter ucla abutment however i just noted i placed 3.5 implants. Is it a problem since all Neodent platforms are the same.

            • For immediate implants, i’ve seen videos where it was mentioned to use a Linderman drill at 2000rpm to make an initial slot to prevent the slope of the extraction socket from deflecting the drill. This is in regards to anterior teeth as well as upper premolars where you are aiming for lingualized positioning

              I had two questions about this
              1) do…

              Read more

            • Load More