-
Erick posted an update 2 years ago
NEW! Study Club Meeting, this Saturday, December 9th @8-9AM PST, Dr. Lorenzo Tavelli takes the stage to discuss Soft Tissue Grafting at Implant Sites. Hop into the Zoom Meetings tab for more information: https://implantninjadojo.ue1.rapydapps.cloud/zoom-meetings/
-
Alan posted an update 2 years ago
2 years ago (edited)
I’ve been getting random early failures in slam dunk cases lately. Healed ridges with adequate bone. Usually in the mandible when I have insertion torque 50ncm or greater. Any recommendations to prevent early failures? Is it important to do preop antibiotic prophylaxis (I don’t)?
-
I do prophylactic antibiotics but that’s more cuz my pts all smoke. I would make sure that your drills are new, and you’re pumping to clean the flutes. Are you placing healing abutments? I’ve had a rash of pts whose implants failed cuz I think they were hitting on the healing abutment. Biology sucks sometimes.
- View 2 replies
-
-
Nick posted an update 2 years ago
So inherited case. Pt has several milled dentures made. He wants me to make him one. Pano shows lack of oros space. Denture confirms this. I plan to shorten anterior abutments. Thoughts on using Dentapreg or FiberForce? These options are glass fiber mesh and mught actually help unlike CrCo.
-
Apexa posted an update 2 years ago
Can a non surgical straight handpice be used to do alveoloplasty? If not what is the alternative to surgical handpiece? I am concerned about speed and air emphysema. I have a case coming up for lower overdenture (2 implants), I need to do 5 mm alveoplasty anteriorly, surgical handpiece broke down and dont have a back up.
-
Yes channel your inner hulk and ronjour the bone. Do u have electric handpiece cuz that won’t cause an air embolism. So I would invest in a straight 1:1 attachment for your implant motor. This will allow even reduction. I find a handpiece can tend to gouge. Eat your Wheaties and let us know how it goes.
- View 2 replies
-
-
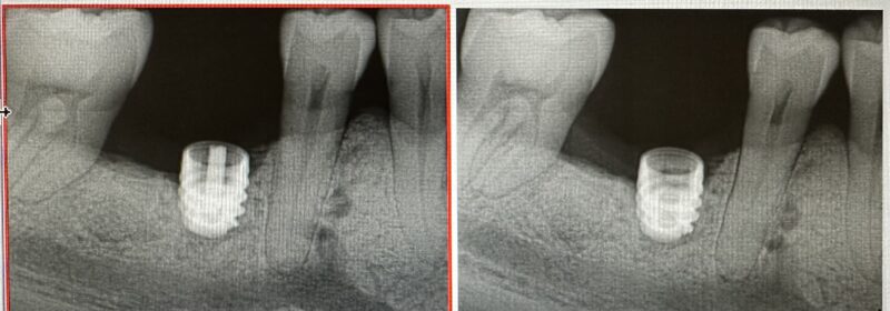
Apexa posted an update 2 years ago
The case I am sharing has been quite challenging for me restoratively. Patient was referred out for implant placement #31. It is a Nobel implant WP. First time I restored it, within a week of insert abutment fractured. Fortunately, retrieving the abutment screw was not that difficult. When I inserted the first time I did know something is…
View more comments-
-
This one is a bit tough. I say that because it looks like it was a little difficult on the surgical aspect with minimal bone height. It always seems to work out this way–in the cases where you wish to have no problems, you often encounter them.
It’s okay though. Let’s try to get to the bottom of this.
First: I understand you cemented the crown…
- View 1 reply
- View more comments
-
-
Ivan posted an update 2 years ago
How Much Resorption to Expect After Extractions:
-
Horizontal change of .1-6.1 mm. This is a great factoid to help sell immediate implants or socket preservation.
- View 1 reply
-
-
Ivan posted an update 2 years ago
Who would be down for an in-person study club event?
-
Talha posted an update 2 years ago
Hi! I have a case I wanted some feedback on. Pt is interested in replacing 24 and 25 with implants. I have attached the cbct below and was wondering what you guys think as far as tx planning. I wanted to place 1 implant with a cantilever for 24 and 25. How would you plan the case given the thin bone? Alveoplasty? GBR? Thank you
-
- View 1 reply
-
What options did you discuss with the patient?
- View 1 reply
-
-
Ivan posted an update 2 years ago
Hey y’all please feel free to drop your questions, rants from the day, or anything else here. We’re here for you. ❤️
-
Hey did my first GBR case this week. I though it went perfect. 3 days later the patient told me she has a fever and is seeing pus-like fluid from the area. I had checked the site the day before and everything looked great. Is there anything I should do now other then Rx antibiotics?
- View 5 replies
-
-
Ivan posted a new post. 2 years ago
Does High Torque equal SUCCESS?Intro Dentists know how crucial it is to ensure that dental implants are stable at the time of surgery. Although implants with low stability can…
- Load More