-
Ivan posted a new post. 2 years ago
How Much Stability Do You Need to Immediate Load?Understanding the Effects of Different Implant Drilling Protocols on Bone Integration The success of dental implants is influenced by various factors, including the method used…
-
Amy replied to the discussion Infected #8, Pt wants implant in the forum Implant Tx Planning 2 years ago
Nice job, Andrew! Send us some updated pictures when you place the implant.
Cayleen -
Amy replied to the discussion First complication in the forum Complications 2 years ago
Hi Jeremy – great case and good insight, Ivan!
From a boards perspective (because I’ve dealt with them here in Texas), I would make sure you document everything and do perio charting to cover yourself. Just as my professor in dental school often repeated: if it’s not in the note, it never happened!
Cayleen -
Amy replied to the discussion Healing complication in the forum Complications 2 years ago
I agree – sometimes you get that “dimple” from the cover screw and tissue not fully healing, but it doesn’t compromise the final goal of getting an implant crown. If anything, it makes it nice and easy to find at uncovery! (Mostly if you’re doing overdenture uncovery).
Cayleen -
Nick posted an update 2 years ago
Having trouble communicating with lab about hygenic design. They keep putting buccal flanges on my cases. They look like this once adjusted and now they have a pantry shelf. 🤬🤬🤬🤬
-
You’re right man, what kind of material is this? Usually the communication for how you want your final to look is done at the try in stage. What do you do at the try in stage?
- View 2 replies
-
What do you do to avoid this @vorholtdds ?
-
-
Dustin replied to the discussion Healing complication in the forum Complications 2 years ago
Okay good to hear. Thank you for the response!
Erick -
Dustin started the discussion Healing complication in the forum Complications 2 years ago
Hello. I placed an implant in site #28 on 25 y/o male. Pt has controlled type 1 diabetes. recent A1C 5.8. Otherwise healthy. Placed with good initial stability and cover screw placed and resorbable sutures. Pt did not return for any follow ups and did not return any check up phone calls. He scheduled 2nd stage prior to surgery and showed up…
Erick -
Nick posted an update 2 years ago
Treatment planning pt for implant bridge.
Im not sure if i should graft the 5 site and wait or place implant in 4 site and do mesial cantilever.
-
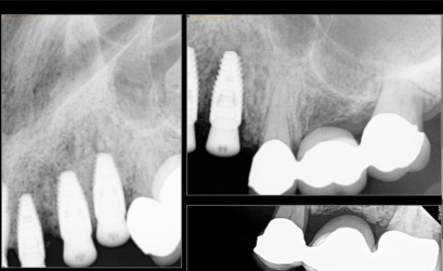
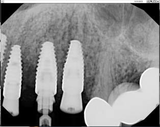
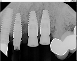
ridab posted an update 2 years ago
Hello,
I ran into an issue with my 81 year old Pt and thought if anyone has some insights.
This is my first implant restoration after graduation.
The implants were planned by another GP and placed by a periodontist.
#12 RC 4.1,#11 4.1 RC ,#10 3.3 NC. Straumann bone level. The periodontist placed them 6 months ago and said it is ready for…
-
Ok I’ve had this happen with Neodent a lot. They make a tool to help break the seal called abutment removal tool. I am not sure if the treads are the same. What I would suggest is ghetto as it sounds is to grab with hemostat and use the back of mirror handle to tap the hemostat. That should remove it. It’s the Morse taper that locked it in. If… Read more
- View 1 reply
-
Thank you for the feedback. I ordered the neodent tool and will try with endo ice and let you know how it goes.
I will re-scan with straumman scan bodies.I have a question about scaning. Do I have to scan 1 implant at time or all of them together?
-
-
Forrest posted an update 2 years ago
Has anyone used StellaLife and found better results compared to chlorhexidine? A few studies have made some bold claims regarding it’s efficacy. However, it has not yet been evaluated by the FDA, and the active ingredients are a little suspicious in my opinion.
-
So the reason these companies became popular was the study out there that says Peridex inhibits fibroblast proliferation. I’ve heard it does, I’ve heard the study was flawed. Who knows. I have heard the Stellalife does work. I think pts can get similar results using salt water rinsing, it’s a matter more of compliance. Maybe pts feel more… Read more
-
- Load More