-
ANDREW replied to the discussion Infected #8, Pt wants implant in the forum Implant Tx Planning 2 years ago
Hey thanks for your reply! I’m going to look into that, very interesting!
-
Nick replied to the discussion Infected #8, Pt wants implant in the forum Implant Tx Planning 2 years ago
What about this particular case lends itself to doing the VST type technique you mentioned. How is the graft kept stable to avoid movement? Periosteal sling suture? U have a case you can show?
-
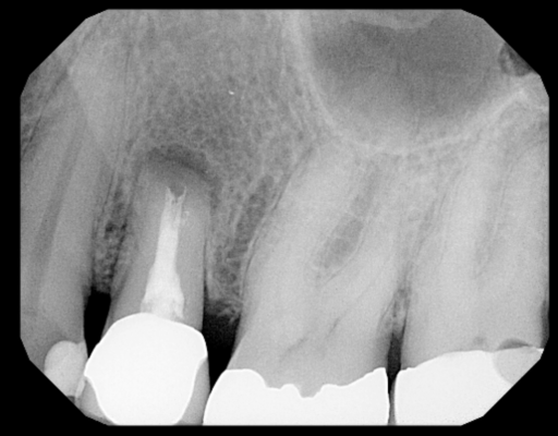
ANDREW started the discussion Infected #8, Pt wants implant in the forum Implant Tx Planning 2 years ago
How would you guys proceed with this case? I am assuming we will need to rebuild the facial wall entirely. Thought about using a titanium mesh membrane tacked down after scrubbing the remaining socket out and placing pt on antibiotics. Question is should we go ahead and graft or wait to heal before grafting and membrane placement?
Erick and Seth -
Seth posted an update 2 years ago
Is this a good case for immediate implant placement at the time of extraction? If so, what protocol should be done to insure the periapical infection is cleaned out and doesn’t result in implant failure? Thanks!
Erick2 Comments -
Dustin replied to the discussion Single implant tx planning in the forum Implant Tx Planning 2 years ago
Appreciate the reply and information! Looking at the mental it doesn’t seem like it issue but when you see exit on the buccal side it looked like the 10.5mm got a little close. But that’s all great info. Thank you
Erick -
Dustin started the discussion Single implant tx planning in the forum Implant Tx Planning 2 years ago
Hi everyone. I am new to placing implants and have been planning some cases and a couple have made me question what the proper plan should be.
Case #1 patient has limited mesiodistal space. Nearing 6mm. It is #5 location. My main concern is obviously lack on space but also what size implant is appropriate for certain teeth. This area has…
Erick, Cayleen and Calvin -
Ulises posted an update 2 years ago
Hey guys just wanted to get to know your thoughts on what I can do to improve. This is a 78 yr old patient with controlled diabetes/hypothyroid/high BP. She takes her medications regularly and reports to be controlled. #29 was extracted due to fracture in October 2022 with bone graft. Implant Astra Osseospeed EV size 3.6×9 was placed in…
-
I created a deeper osteotomy today and placed a larger longer implant after removing the failed implant and thoroughly curetting and irrigating with CHX. Any guidance and feedback is welcome.
- View 2 replies
-
-
Ivan posted an update 2 years ago
I want to share a case I’m particularly proud of. My homie AJ Marbeh in San Diego took this case from start to finish. After taking the online GBR course by David Wong he crushed it with this difficult case and he used Implant Club fixtures. Brings a tear of happiness to my eye. LOL but seriously, Love this case!
-
great job
-
-
Ivan posted an update 2 years ago
Curious, where are y’all looking for hands on implant courses? Sooo many out there right now. Any in particular that have your attention? I know pathways is killin it. But you guys considering any of those out of country marathons?
View more comments-
I did Trinon collegium in Cambodia last year, def a great experience and placed over 30 and assisted another 30+
- View 2 replies
-
3D implant institute
- View 2 replies
- View more comments
-
-
omar posted an update 2 years ago
i have a random question….
we are getting into a lot of all on four cases and full mouth cases so we recently purchased a 3d printer etc. Im trying to figure out best options for software so i can start designing at least the full mouth cases for now…I know exocad is a popular and good software and have heard of zirkonzahn as well..Does…
-
Thanks for the question man. I’m not personally doing it, but I think those that you mentioned are paid.
As Nate Farley teaches in our Advanced Guides Course, you are definitely able to create some of those designs using freely available software like Meshmixer or Blender. It does take a bit more of legwork on the clinician side though.
BTW… Read more
-
- Load More