Activity Feed

Show
by
  • Case here for a maxillary partial overdenture. How do these positions look prosthetically in respect to their existing partial? I placed them as best I could. Also how far subcrestal should I am for? 1-2mm?

    • These positions look okay to me–but i might suggest some slight modification. So, because this is a partial, the implants don’t necessarily need to follow the angulation of the teeth.

      Instead, the things to try to optimize for aside from bone availability are:

      1. Parallelism between the fixtures. It would be great to try to get them…

      Read more

      1
      • That said, you don’t want those anterior implants to come out too far on the palate because you’ll run out of restorative space. It’s a balance.

        One solution for the anterior might be to use some angled locators on those. They fix that up real quick.

        2mm subcrestal would be good. Hardest thing on this case will be making sure you have…

        Read more

        1
      • Hı everyone,I couldnt understand aim of these blue lines.Can you explain further?

        drahcirthefrog
        1 Comment
        • The blue lines on a stacked implant guide are like the dimple on BioHorizons implants, they serve a similar purpose—they help ensure the implant is placed in the correct orientation, a process called “timing.” These markers act as guides to align the implant properly in the bone, ensuring that the connection where the crown or restoration… Read more

          Love
          2
        • Has anyone had any experience removing mini implants? Any tips or recommendations. These are 3M small diameter 2.4X10.

          View more comments
          • I’m actually do this exact same thing next week. When are you doing it?

            1
            • View 1 reply
          • I’ll record my procedure for you. Often the come right out with the mini implant insertion tool. You just turn it counterclockwise. 🤞🏼

            1
            • View 2 replies
          • View more comments
        • Sorry if this is a double post. I was wondering if this case should be better splinted or with separate crowns. I did look at the research and it seems splinted crowns are better. But I’m just worried as there is already bone loss around the mesial implant would it be better to do separate crowns so she can clean it better

          View more comments
          • Hey Chris, thanks for your post! I would leave these UNsplinted. Here’s why:

            There is already some bone loss at those implant sites and if you splint those, the situation can get worse as the patient wont be able to clean them as effectively. (What you said)

            I can’t think of a benefit to splinting them in this case.

            Also, you might have a…

            Read more

            • Thanks again Ivan. Much appreciated

              Love
              1
              • View 1 reply
            • View more comments
          • Nick posted an update a year ago

            a year ago (edited)

            Remember if you think you are having a bad day, think about this dentist. 😳

            Can, Ivan and dtberat_dds
            2 Comments
            • this one’s a doozy, not sure what I would do in this case !

              • This is really crazy. Thankfully I’ve never had to deal with that myself but in general you have to open up a window and get it out of these. When it’s that high up that’s a bit crazier

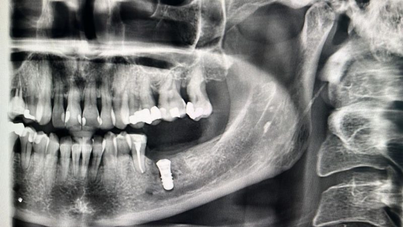
              • Hi all, Im trying to place a single unit #13. Due to boneloss, it looks like the buccal side is longer than the palatal side. If I were to place #13 completely submerged, 1mm subcrestal on the lingual side, it looks like it would be 2.2mm subcrestal on the buccal side. Should I shave down 1mm of the buccal bone to make it more even?

                If so, do…

                Read more

                View more comments
                • I would not shave down anything. If needed at time of uncover you can remove any bone around the cover screw as needed. That being said I always shoot for 2mm subcrestal to create enough running room for my crown. You want 4mm from top of tissue to implant platform. This is the cornerstone of ZBLC.

                  1
                  • Hey Nick, thanks for your input! What does ZBLC stand for?

                    • View 1 reply
                  • View more comments
                • It is not easy for a fresh doc (just graduated 6 months ago) to face a case of OCA without any instructor around. I was attempting to screw in the customized abutment, when I use the torque wrench to lock the screw in, the implant rotated :), when I took the implant out, I heard the sound, it kinda like the sound of the train idk…

                  So after…

                  Read more

                  View more comments
                  • Can you explain what OCA is?

                    1
                    • I also don’t know what OCA stands for. The implant has failed it needs removed. There is epithelial encapsulation. One removed it and graft with a cytoplast or dPTFE membrane in the area to re establish the KT band. When the bone matures then I would place a new implant with hopefully a healing abutment that can be used to tent the KT to gain…

                      Read more

                      Love
                      2
                      • View 1 reply
                    • View more comments
                  • Ivan posted an update a year ago

                    a year ago

                    Well THATS not somethin you see every day. And actually the patient was fine. Luckily the drilling was lingual to the actual nerve canal.

                    Dont try this one at home!

                    Have a great weekend yall!

                    View more comments
                    • I’d be worried about perforating into the lingual concavity😳

                      Wow
                      1
                      • View 1 reply
                    • Yikes. Did they say what went wrong?

                      • View 1 reply
                    • View more comments
                  • Hi, I was intially going to take impressions of 14 15 implant and decided rather to scan it.

                    My question is there is a bit of gingiva covering the 14 healing cap. Like maybe 1/5 of the healing cap. It has no issue coming off, but should I remove this tissue before I scan?

                    Also I know with normal crown preps it is very important there is no…

                    Read more

                    View more comments
                    • Hey Chris! When you say that the tissue is covering the healing abutment, is it covering the occlusal surface of it?

                      Its generally not a big deal, I would probably take a thin blade and slice off the tissue that is covering the occlusal surface of the healing abutment.

                      Ideally, you don’t want blood during the scan. I suppose it’s technically not…

                      Read more

                      • yes its covering a very small portion of the healing abutment. I was thinking maybe I could place a large cord in there for a few minutes to solve the issue 😅. Thanks for the help, I guess ill just take a full arch scan

                        • View more comments
                      • I have a patient that I am placing an implant on #19. He is missing #18 and #20 has class II mobility due to trauma from occlusion. I would like to place #19 with possibly having to place an implant on #20 in the future in mind. I know the minimum distance from an adjacent tooth is 1.5-2mm and distance away from an implant is 3mm. However,…

                        Read more

                        drcajee
                        3 Comments
                        • Made a quick little diagram for ya. Does this help? You’re right that you should not place it within 2mm from #20. Besides that you need to consider the Mesio-Distal length of #20.

                          SInce the average MD length of a mandibular molar is 10mm, the furthest you’d want to start your prep is 5mm away from #20. As shown in diagram. LMK if that helps or…

                          Read more

                          2
                          • That being said I would still place it less than 5 or countersink it two mm so I had papilla formation. Nothing sucks more than a black triangle at the finish line.

                            Love
                            1
                            • View 1 reply
                        • Load More