-
87madrigal posted an update
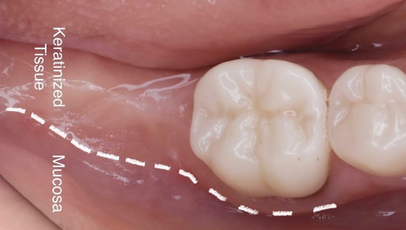
Implant Placement – Lower Second Molar with a Focus on Keratinized Tissue
This case highlights the importance of soft tissue management for long-term implant success. In this case, I placed an implant on a healed site for a lower second molar, and my approach focused on ensuring we have a thick keratinized band on the buccal side.
When dealing with these cases, I intentionally make my incision more lingual to preserve as much tissue as possible for the buccal side. I place the implant 1.5mm subcrestal to ensure proper stability and room for bone and soft tissue regeneration. Once the implant is in place, I use a healing cap and reposition the tissue, which allows us to achieve a thick, healthy band of keratinized tissue on the buccal.
This step is crucial because having enough keratinized tissue not only improves aesthetics but also contributes to better hygiene maintenance and long-term implant success.
I’m curious to hear how others manage their soft tissue in similar cases—do you also focus on preserving or repositioning keratinized tissue? Let me know your thoughts or techniques in the comments!
Jedediah, drcajee and 3 others3 Comments-
The doctor I have been mentored by follows this same protocol. I look forward to trying it myself on cases of my own soon.
3 -
great clinical pearl.
3 -
I like this. I use the same technique as often as I can 🙂
-