• 87madrigal posted an update

      a year ago

      Merry Christmas everyone!!

      Sometimes, patience is the best treatment plan.

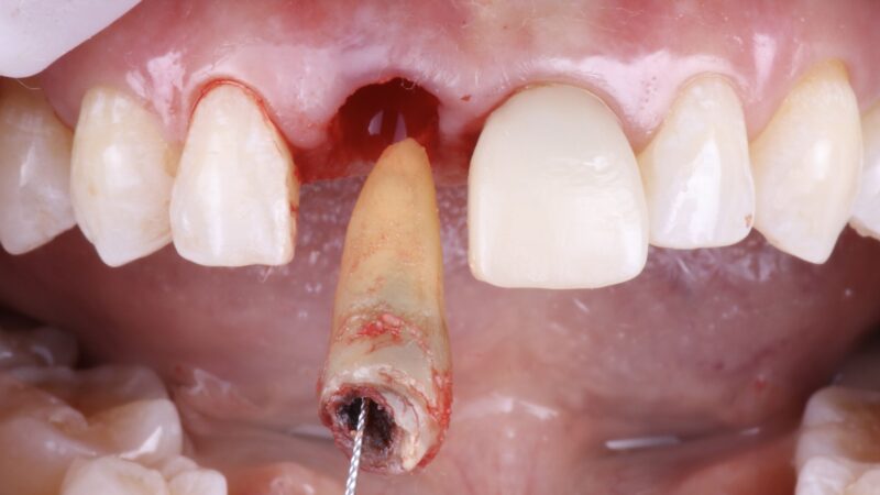
      As much as I love placing implants right after an extraction, sometimes biology needs a little time to work its magic. Here’s a case of an anterior tooth extraction where we decided to graft and wait rather than placing an implant immediately. Why? Because sometimes the best results come from respecting the natural healing process.

      In this case, I placed bone graft material and a membrane to preserve the site. The patient will use a flipper temporarily while we let the bone and tissue heal properly. This approach allows us to create the perfect foundation for a future implant, ensuring both strength and aesthetics.

      Takeaway: Don’t push biology to its limits. When in doubt, graft and wait. Healing takes time, and that’s okay. The best outcomes are worth the patience.

      Love
      drcajee, Hadi and 3 others
      5 Comments
      • What about the case made you leery to do an immediate? What membrane did you use? Did the site require sutures? Thx

        • @suredds Hey Nick, even though I had good buccal bone, there was a large bone defect once I took out the granulated tissue, so there was no way would be able to get any initial torque here with a 3.5mm or 4.3mm implant. I did use 3-0 sutures to hold the Geistlich collagen membrane.

        • I love that. Patience is the most difficult skill to master tho! haha

          1
          • I love that. Patience is the most difficult skill to master tho! haha

            • Especially with pressure from patients to hurry up and get it all done. Great case!!