• Hi all, I just discovered this community and this first post.

      This healing cap was in place for 5 months. I couldn’t get it out through conventional means, and stripped the threads trying.

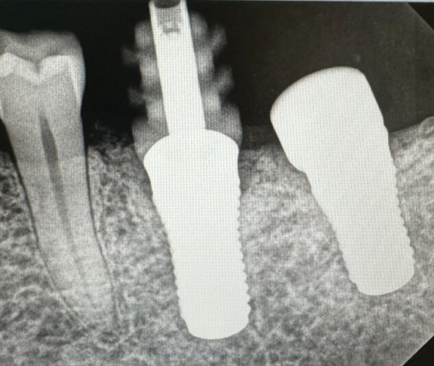
      Then I had the brilliant idea to review the radiograph, and it appears to be bent?

      The split image shows a comparison between when I placed it in March, and how it looks now, in August. I placed five healing caps altogether, and no issues with the other four.

      He’s been scheduled back to try other ways to get it out.

      But physics is telling me this isnt going to back out if it’s bent.

      The system is Straumann.

      Anyone out there who’s dealt with this?