Toggle Side Panel
Implant Ninja
  • Storefront
  • Enter Community
  • Shop
  • Articles
  • Courses
More options
    Sign in Sign up
    • Storefront
    • Enter Community
    • Shop
    • Articles
    • Courses
    Close search
      • Profile photo of Justin

        Justin posted an update

        a year ago

        Hello,

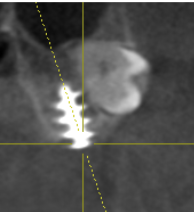
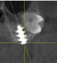
        I recently placed an implant that I’m worried about the prognosis. My previous cases have all been free handed. I had my lab make a guide for this case. I ended up relying too much on the guide and placed the implant too close to the adjacent tooth (0.8mm). Has anyone else placed one this close and had it fail or be successfull? Im wondering what my next steps should be? I informed the patient it was closer than I would have liked, have her planned back for a follow up in 2 weeks and plan to leave it buried for 4 months.

        No folders found. Please create and select folder.

        Documents
          Following special characters are not supported: \ / ? % * : | " < >
          Cancel Create
          Create new folder Cancel Move
          IMG_4635-rotated-scaled.jpeg 941 KB Image File - Click to view
          Options
          • Copy Download Link
          IMG_4637-rotated-scaled.jpeg 703 KB Image File - Click to view
          Options
          • Copy Download Link
          IMG_4634-rotated-scaled.jpeg 720 KB Image File - Click to view
          Options
          • Copy Download Link
          IMG_4633-rotated-scaled.jpeg 464 KB Image File - Click to view
          Options
          • Copy Download Link
          IMG_4632-rotated-scaled.jpeg 493 KB Image File - Click to view
          Options
          • Copy Download Link
          IMG_4631-rotated-scaled.jpeg 533 KB Image File - Click to view
          Options
          • Copy Download Link
          dtberat_dds, Jedediah and 5 others
          9 Comments
          • Profile photo of Ivan
            Ivan

            Anecdotal Suggestion

            While this situation can be super stressful, it doesn’t necessarily mean disaster.
            Anecdotally, I have at times, and many others have placed implants closer than we wish we would have to adjacent teeth. It’s happened once or twice. And aside for a few sleepless nights, I (and the patient) have had zero issues from it.

            Literature


            Long term clinical result of implant induced injury on the adjacent tooth
            A study that followed patients for over 10 years found that even when implants directly injured nearby teeth, 90.6% of those teeth remained functional long-term. Only a few needed root canal treatment, and one implant failed in cases with direct root invasion. But overall, the implant survival rate was high at 96.9%, and the stability even improved over time. So, immediate extraction isn’t typically needed, and the implant can still integrate well. https://pmc.ncbi.nlm.nih.gov/articles/PMC8041840/pdf/41598_2021_Article_87062.pdf

            Love
            1
            a year ago
            • Profile photo of Ivan
              Ivan

              Appropriate Next Steps?

              In my humble opinion, the first thing is to take a step back and not stress too much. Thing will be okay.
              Now, here are some potential options:

              Option A: Take the implant out and re-do the implant placement. You still have time if you wan to do this.

              Yes, it does feel stressful to explain to the patient why you want to redo it
              Consider if you believe this will make the patient better or worse off

              Option B: Leave it as is, and monitor the adjacent tooth for any pulpal changes. (You might be surprised to find that nothing happens.)

              Honestly, in this situation, to me it does not look like there is a clear right or wrong. There is no negligence here. You did the best you could. Now navigate what you feel would be best for you and the patient.

              a year ago
              • Profile photo of Vũ Anh
                Vũ Anh

                @ivan-chicchon I met a case with the demand of restoring a failed prosthetic (10 years ago), the patient came to the office with 2 one-body implants and a splint prosthetic, but one implant neck was broken. When I took the CT, I was also surprised that the implant was so close to AN IMPACTED WISDOM TOOTH. and the implant is still good after 10 years.

                No folders found. Please create and select folder.

                Documents
                  Following special characters are not supported: \ / ? % * : | " < >
                  Cancel Create
                  Create new folder Cancel Move
                  Anh-man-hinh-2024-11-12-luc-13.54.50.png 39 KB Image File - Click to view
                  Options
                  • Copy Download Link
                  a year ago
                • Profile photo of Justin
                  Justin

                  Thanks Ivan this response is super helpful!

                  a year ago
                  • Profile photo of Vũ Anh
                    Vũ Anh

                    same case :v

                    No folders found. Please create and select folder.

                    Documents
                      Following special characters are not supported: \ / ? % * : | " < >
                      Cancel Create
                      Create new folder Cancel Move
                      Anh-man-hinh-2024-11-12-luc-13.54.50-1.png 39 KB Image File - Click to view
                      Options
                      • Copy Download Link
                      a year ago
                      • Profile photo of sameerdentist
                        sameerdentist

                        how was the torque when you place the implant, if you place with high torque it means more pressure on bone may transfer to adjacent tooth, if moderate torque, i think just follow up for vitality of adjacent tooth

                        Love
                        1
                        a year ago
                        • Profile photo of Ivan
                          Ivan

                          Here’s the pic that @nguyenanhduytrung was posting. He said it’s been in 10 years and no issues @jmsdds

                          Move Photo to...

                          No albums found. Please create and select album.

                          Albums
                          Cancel Create
                          Create new album Cancel Move
                          IMG_7001
                          Love
                          1
                          a year ago
                          • Profile photo of Jedediah
                            Jedediah

                            Agree with @ivan-chicchon . Typically will do fine but just learn from it and take that knowledge and experience to your next case. This is a great example of guided doesn’t mean better and more accurate. A lot goes into it and they can be great but the digital plan needs to be executed as if you were doing the surgery right then and not just sign off on the lab proposal which is rarely good enough. Not that this was the case but I’ve seen these type of cases too often as we have taught fully guided cases to doctors.

                            a year ago
                            • Profile photo of Ryan
                              Ryan

                              I’ve seen implants in the PDL of adjacent teeth that have zero issues. It will be just fine.

                              While not ideal, my understanding is we can get closer to adjacent teeth at the apex than at the crest of the bone.

                              a year ago
                          • Public
                          • All Members
                          • My Connections
                          • Only Me
                          • Public
                          • All Members
                          • My Connections
                          • Only Me
                          • Public
                          • All Members
                          • My Connections
                          • Only Me
                          © 2026 - Implant Ninja • Contact Us

                          Report

                          There was a problem reporting this post.

                          Harassment or bullying behavior
                          Contains mature or sensitive content
                          Contains misleading or false information
                          Contains abusive or derogatory content
                          Contains spam, fake content or potential malware

                          Block Member?

                          Please confirm you want to block this member.

                          You will no longer be able to:

                          • See blocked member's posts
                          • Mention this member in posts
                          • Invite this member to groups
                          • Message this member
                          • Add this member as a connection

                          Please note: This action will also remove this member from your connections and send a report to the site admin. Please allow a few minutes for this process to complete.

                          Report

                          You have already reported this .