• Jakob posted an update

      2 years ago

      What are your thoughts about splinting two implant crowns at the end of the ridge (18+19)

      is it advisable to splint them or just restore them separately.

      Thanks a bunch for your help

      • To be honest, I think if they can be left individual they should be. This will help facilitate better hygiene access. I splint when I think the implants will require some additional stability or there is limited real estate into which I’m placing the implants. Do you have an x ray?

        • Thank you so much for your hep Ivan.

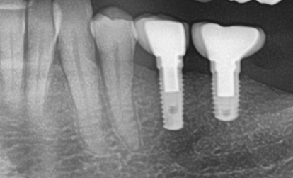
          I attached a screenshot. The two crowns were splinted originally but after screw loosening (many years ago) the were cut intraorally.

          • Thanks for sending the x-ray. It seems like these implants have sufficient bony housing to withstand forces placed on them without having to splint them. I would leave them unsplinted. If the screw loosening happens again, you should consider using a brand new screw and perhaps reducing some of the occlusal contact on the tooth in question. Screw loosening can be a pain in the ass. It can take time to find the cause of it.

            • Thank you so much for your quick reply Ivan.
              The screw loosening and “cutting” of the splinted implant restoration happened over 10 years ago. I just read about it in the documentation of the previous dentist.

              My guess it that the splinted restoration had a non-passive fit which could have caused the screw loosening.

              Thanks again for your help and this great community.

              • Non-passive fit is a very common culprit! You’re welcome man!

                BTW you should try to make it to our in person meeting in september!

        • My preference is definitely to restore individually as it is so much nicer hygienically for the patient, however, in some more rare cases where I have narrow platform and very short implants in a posterior area such as first and second molar sites as well as very soft bone then I would prefer to be more cautious and splint those implants in those very specific cases