
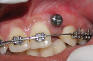
Out of the Box Management of a Malposed Implant
Crazy Case I came across… I just wanted to share this case that I saw the other day… The patient presented with a CRAZY angulation
Erick posted an update 4 months ago
kandacewilliamson posted an update 7 weeks ago
Hi all, I’m a recent graduate and completed a GPR in July of 2025. I placed about 30 implants during my residency…
tannersmenard posted an update 8 weeks ago
In dental school, I was taught I needed to wait a minimum of 3 months after extraction/socket grafting before site…
drcajee replied to the discussion Implant lost in max sinus 🙁 in the forum Complications 8 weeks ago
Reply to Implant lost in max sinus 🙁
Welcome to the “club” no one wants to join, but every seasoned surgeon eventually does! Honestly, the fact that you… Read more

Crazy Case I came across… I just wanted to share this case that I saw the other day… The patient presented with a CRAZY angulation

Dental implant surgery can be a life-changing experience for patients, but it is essential to manage their expectations before, during, and after the procedure to

As a beginning dental implant surgeon, it is essential to have a well-planned and organized approach to every dental implant procedure you perform. Proper preparation
There was a problem reporting this post.
Please confirm you want to block this member.
You will no longer be able to:
Please note: This action will also remove this member from your connections and send a report to the site admin. Please allow a few minutes for this process to complete.