Activity Feed Forums Complications #20 implant

  • #20 implant

    Posted by Dr. on March 27, 2025 at 8:26 am

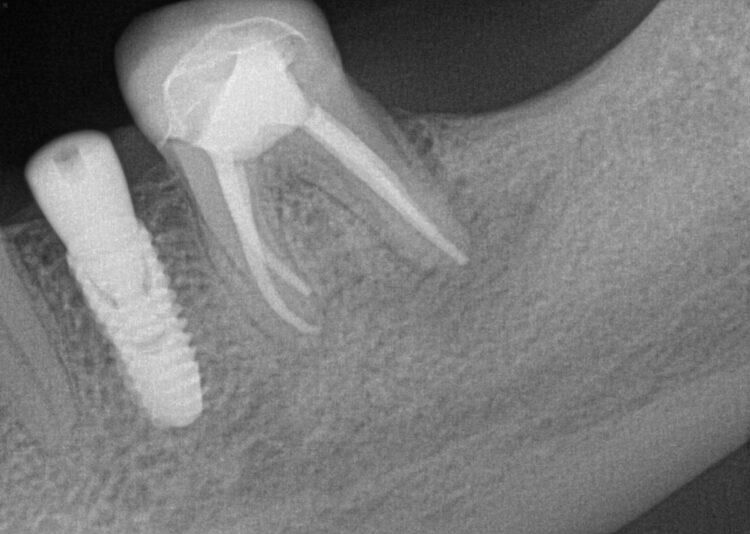
    Hi, this implant was placed in June 2024. I have 3PAs (one from day of placement, one month later, and 9 month later). The intraoral picture of the soft tissue is from yesterday and tissue looks great… patient has no discomfort/pain either. She did have some discomfort between 2-3rd week after placement but subsided after taking antibiotics. On the one month xray, I may have missed the radioluency starting in apical 1/3.

    Yesterday, I tapped the HA with the end of my mirror and wiggled the implant with no pain nor any perceptible movement. I am very suspicious, of course, about the radiolucency surrounding the apical 1/2 of the implant and am almost certain that the implant has failed (right?). I have removed failed implants at about 4 weeks (came out easily since still has not osseointegrated) but not at 9 months out…

    Do you foresee this one coming out easily with reverse torquing? Also why does she not have any pain? What is the indication(s) for grafting a failed implant site… I’ve spoken to some who graft and others who don’t.

    • This discussion was modified 1 year, 2 months ago by  Dr..
    Nairy replied 1 year, 1 month ago 2 Members · 1 Reply
  • 1 Reply
  • Nairy

    Member
    March 30, 2025 at 7:56 am

    Hello hope all is well !

    I don’t have much experience in implants but why you don’t take a cbct first ? To see exactly what is happening? Is only the HA loose? I am sure you will know the difference but just a thought!

Log in to reply.