Activity Feed Forums Implant Tx Planning Access Screw locations?

  • Access Screw locations?

    Posted by Justin on February 5, 2024 at 1:09 pm

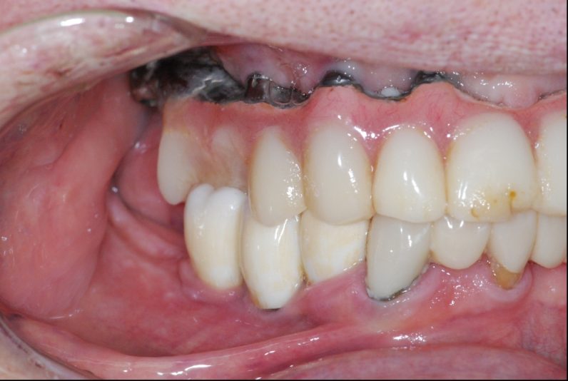
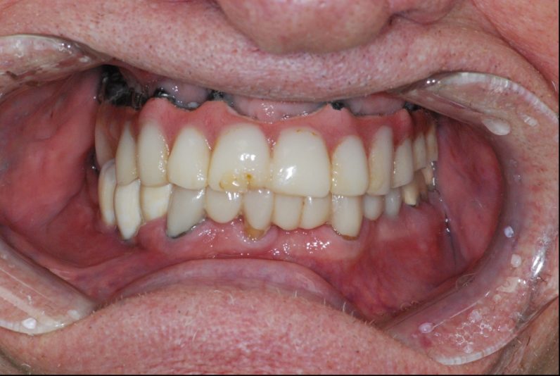
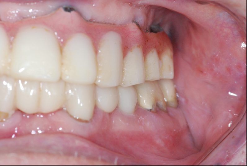
    Hey, I will be removing this hybrid denture for replacement. I am having a difficult time locating the access screws for removal. Can anyone please help me find them? Implants are placed at site 3,5,7,9,12,13,15. Thank you for your help!

    Nick replied 2 years, 3 months ago 3 Members · 2 Replies
  • 2 Replies
  • Jedediah

    Administrator
    February 5, 2024 at 1:39 pm

    It is always a bit tedious and a pain but typically using various X-rays and especially a pano can give you areas to try to access slowing until you find all the screws, slow and patience is keep to not over prep into the screws

  • Nick

    Member
    February 5, 2024 at 4:19 pm

    Use air and really dry the acrylic but you can see the outline of the access on the occlusal of 5,6. I would block enough time and just go slow. Best part is since the prosthesis is plastic it’s easily repairable. U got this.

    • This reply was modified 2 years, 3 months ago by  Nick.

Log in to reply.