Activity Feed Forums Implant Tx Planning Another Ridge Augmentation

  • Another Ridge Augmentation

    Posted by Anthony on March 24, 2023 at 4:51 pm

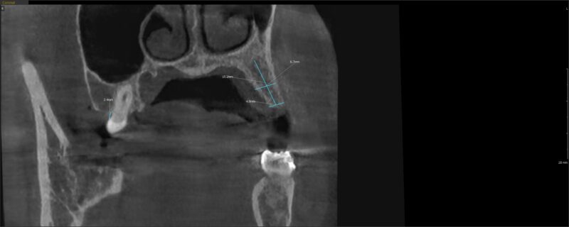
    I have another case here with a buccal defect on tooth # 13. Pt has been wearing a flipper for over 10 years.

    Looking at the insufficient B-L width at 4.8mm, I’d like to do a ridge augmentation (mini-sausage technique) and two stage this ( I really dont want to do a ridge split) where I would:

    1. crestal incision with 2 vertical releasing flaps ensuring that the base is thicker.

    2. Perforate the buccal area with a round #4

    3. Pack area with xenograft

    4. Use a resorbable cytoplast membrane

    5. Coronally position the flap to get primary closure and suture using an internal fixation, horizontal matress, and interrupted sutures where the vertical releases are. I don’t see how I can coronally position and get primary closure if I don’t do 2 vertical releasing incisions. Are the incision lines in the right place?

    • This discussion was modified 3 years, 1 month ago by  Anthony.
    • This discussion was modified 3 years, 1 month ago by  Anthony.
    Ivan replied 3 years, 1 month ago 3 Members · 3 Replies
  • 3 Replies
  • Ivan

    Administrator
    March 25, 2023 at 11:42 am

    Your plan looks okay–with some minor modifications.

    1) Grafting a 6.7mm site is good because you dont really need to gain much. Just a small win will be enough.

    2) Especially if you are newer to this, I would probably want to move those vertical releasing incisions further away from the graft site. You can hop over to the next tooth. The idea is to keep your cuts away from your graft sites.

    3) I typically use allograft for this. If you purchase a bone scraper you can even harvest some bone chips and layer them onto the cortical plate first and then put your graft material on top.

    Lastly, have you taken David Wong’s GBR course? that would help. at least check out some of his vids in the video library in here

  • Ivan

    Administrator
    March 25, 2023 at 1:34 pm

    What Ivan said

    – Move verticals so incisions are more remote from surgical site

    – allograft so it turns over

  • Ivan

    Administrator
    March 25, 2023 at 3:19 pm

Log in to reply.