Activity Feed Forums Complications Impression stage

  • Impression stage

    Posted by William on March 7, 2024 at 3:08 am

    Good day everyone, I have just started my implant journey. I have a case in which during impression stage, I have noted some metal showing through the soft tissue and I think buccal bone resorption must have taken place. Buccal bone width and height were satisfactory during second stage. Although the implant is still firm and stable, should I postpone the impression and graft the area? Or if the bone resoprtion is not significant, should i proceed with impression? Thank you

    William replied 2 years, 1 month ago 5 Members · 12 Replies
  • 12 Replies
  • Ivan

    Administrator
    March 7, 2024 at 9:51 am

    Thanks for sharing! Do you have any intraoral pictures or radiographs?

  • Jedediah

    Administrator
    March 7, 2024 at 3:41 pm

    Welcome to the forum William. It just depends on the case. If the implant is sounding, you know that there’s plenty of bone around it. Sometimes all of our patients can’t heal perfectly if there’s a mild bit of bone loss but everything looks stable and the patient aesthetically is OK with it and you can go ahead and proceed. Depending on the case, just putting bone graft on there won’t mean that that’s gonna take to the bone. Another possibility is improving the thickness of their keratinized tissue that may mass that and help further stabilize it for the future.

  • Ivan

    Administrator
    March 8, 2024 at 8:59 am

    More info (pics & x rays) be helpful if you have it William. But in general, it’s not a deal breaker. Most likely you can restore it and if it is an esthetic concern you can plan to refer out for soft tissue graft in the future.

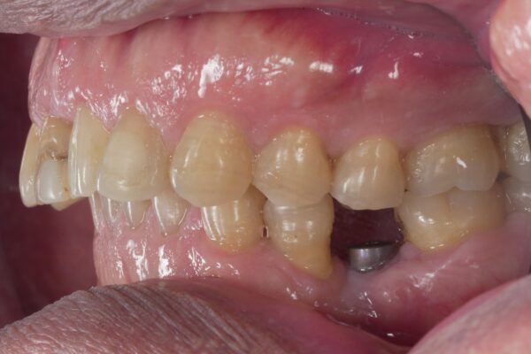
  • William

    Member
    March 9, 2024 at 11:34 pm

    Thank you Ivan and Jedediah for your reply. I have proceeded with impression scan. This is the photo of the implant. Implant was still firm and asymptomatic upon removal of healing abutment.

    • Ivan

      Administrator
      March 11, 2024 at 7:55 pm

      Great to hear @Williamwy1994 ! It looks good to me. No need to worry. Actually a high five is in order!

      • William

        Member
        March 12, 2024 at 12:07 am

        Thank you for your reassurance !

  • William

    Member
    March 10, 2024 at 12:08 am

    Good day to all, I have another case in which I have postioned the implant too palatally because i was too focused on achieveing the maximum buccal bone thickness. Took a post operative CBCT and realised that about 3mm of implant is out of the cortical bone at the palatal side. Implant dimension is 3.3x12mm. Raised the palatal flap and noticed some thread exposure. Insertion torque is about 45Ncm and the palatal soft tissue is thick. Then, i grafted the area with some autogenous bone chips harvested during osteotomy.

    Questions:

    1) In this case, can I not graft the area with additional xenograft since it’s at the palatal side and the palatal keratinised gingiva is thick? And judging by the good primary stability

    2) How would you manage this situation differently?

    Thank you

    • Ivan

      Administrator
      March 11, 2024 at 7:59 pm

      I like that you harvested bone chips. I think this case will be okay, it is not ideal that the threads are out of the boney housing, but I think if you monitor the soft tissue closely this may not become a problem for you. Its a good thing to keep in mind for the future.

      I’ll bet this case goes just fine.

      If you did want to consider hard or soft tissue grafting, I would send this one out to a periodontist before restoration. They may or may not recommend grafting. Its one of those situations where there is no right or wrong answer.

      • William

        Member
        March 12, 2024 at 12:09 am

        Thank you all for the helpful input. I will update on the latest progress.

  • Talha

    Member
    March 10, 2024 at 3:15 pm

    If the implant is stable and integrated, I wouldn’t touch it. Palatal bone loss on the anterior implants is not as big of an issue due to thick attached tissue there. It’s also harder to graft the site after implant placement back there. In the future, consider using a guide for optimum placement B/L.

  • Hobin

    Member
    March 10, 2024 at 9:10 pm

    Radiographically, it looks good

  • Jedediah

    Administrator
    March 10, 2024 at 11:06 pm

    Should be ok with thickness of other bone and thick palatal tissue

Log in to reply.