Activity Feed Forums Complications Placed first implant (#4) solo, 2 weeks later looks like it’s failing

  • Placed first implant (#4) solo, 2 weeks later looks like it’s failing

    Posted by Paul on May 9, 2024 at 9:41 pm

    Finally took the dive to plan and place my first implant in private practice, unfortunately it looks like it’s failing 2 weeks later.

    Placed a 5.0 x 7.0 Hiossen implant at #4 site. Every thing seemed to be going well, undersized my osteotomy by 1x (3.5). Placed the implant to 40 Ncm. Felt pretty confident so placed a healing abutment. Sutured with 4-0 silk, went with a horizontal mattress and 2 uninterrupted.

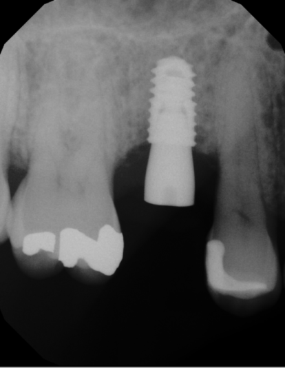
    At the post op visit, noticed some purulence around the healing abutment along with the buccal tissue being flappy without any kind of closure. Also took a PA and noticed a distinct RL around the implant. Shit sucked.

    Thinking about the case, maybe one of sutures unwinded and left that buccal tissue unattached, causing bacteria to settle in? Or maybe I should’ve just placed the cover screw and not trying to rush things. Who knows.

    Going to regroup and just trying to see if there is anything I can do to salvage the case and what is the prognosis for an implant down the line? My guess is to remove implant, curette and clean out socket, placed bone graft/membrane, and wait 3-4 months and try again?

    1st picture – Immediate day of placement post op

    2nd/3rd picture – Week 3 post op

    Jedediah replied 1 year, 11 months ago 4 Members · 11 Replies
  • 11 Replies
  • Paul

    Member
    May 9, 2024 at 10:02 pm

    Also, any advice on how to remove the implant?

  • doug

    Member
    May 10, 2024 at 10:02 am

    The implant you can back out easily with the hand torque wrench at this point. If you want to replace it, it look like you have space for a longer implant. Remove the implant, currette and take the osteotomy deeper and place another implant, bury it this time. No need to wait and relay the case.

    • Paul

      Member
      May 13, 2024 at 12:37 pm

      Thank you for the recommendation! Good to know that an immediate is an option in this case.

  • Adis

    Member
    May 10, 2024 at 11:01 am

    Any chance you overheated the bone during osteotomy prep? You could put patient on CHX and wait to take an xray at 1 month post placement to check on the bone, all may not be lost yet. If it looks worse, you can still remove and replace immediate or graft and delayed.

    • Paul

      Member
      May 13, 2024 at 12:46 pm

      Not sure if I overheated the bone to be honest, constant irrigation was used during the osteotomy. I did put the pt on CHX, will see them back in about a week to reevaluate. Thank you for your help!

  • Jedediah

    Administrator
    May 12, 2024 at 10:22 pm

    Very easy to remove if needed by just reversing it out with your torque wrench and implant driver. However, I agree with Adis that it’s a bit too soon to throw the towel in. First, I wouldn’t ever use silk sutures and they do collect a ton of plaque, bacteria, and food and are not very hygienic. Monofilament sutures will keep site cleaner. Possibly food irritated area and after you clean and irrigate area you might follow up the next moth 2 weeks at a time and take an X-ray and the patient may continue to heal and implant may be ok even if not ideal healing. Also, reverify medical history, pt. Smokes? Vape? Marijuana? Etc. If it does fail we want to do our best to know why even though despite our best efforts sometimes we don’t. Typically, if I remove and graft I will wait and full 6 months or more to have more mature bone at that site b/c no sense rushing things when patient doesn’t heal well just to have another issue again. Best of luck and let us know how it progresses.

    • Paul

      Member
      May 13, 2024 at 12:53 pm

      True about silk sutures, I will have the office purchase some monofilament sutures for next time. Thank you for the reassurance, I was ready to throw in the towel and give up on it especially seeing these results 2 weeks post op. In terms of medical history, pt had a history of taking blood thinners in the past and has not within the last 2 years and there were no instructions from cardiologists to change medications.

      Previously this was a grafted since in the past (2020 I believe), if the area is grafted again, does it decrease the prognosis of placement? Thank you for your input!

  • Jedediah

    Administrator
    May 13, 2024 at 5:33 pm

    Being grafted again alone does not necessarily decrease success rate. However, if the patient is showing a consistent delayed healing and/or poor reaction to treatment and there might be some underlying issue that is affecting overall healing, and that would be an account when doing further treatment.

  • Paul

    Member
    May 23, 2024 at 11:55 am

    An update 4 weeks post op:

    The PA looks a lot better and clinically the implant seems to be taking. The pt is continuing with CHX rinses. Unfortunately primary/secondary closure did not seem to happen. I am wondering on how to continue with this case. What should I do with that excess buccal tissue? I was thinking of just removing the healing abutment, placing a cover screw and just suturing that excess tissue to the lingual and hoping for closure?

    • doug

      Member
      May 23, 2024 at 12:02 pm

      I would leave it alone. The torque is now about half of the initial insertion. I would not disturb the implant by placing a driver and force on the healing abutment. The soft tissue will remodel around the healing abutment. Come back to it in 16 weeks and torque test the implant. If it fails, remove it then, currette the socket and graft. Start again in another four months. If good stability, then I would proceed with an abutment and PMMA crown out of occlusion to progressive load the implant over the next 4-6 months. We just can’t know at this point.

    • Jedediah

      Administrator
      May 24, 2024 at 8:16 am

      Looks fine. I would agree with Doug. Leave it alone. It will continue to improve and settle back down over time. In the future try to place a wider and taller healing abutment to better shape the tissue and make it easier to prevent tissue from healing partially over the healing abutment that can creat food traps and less ideal healing it will also be easier to suture the tissue the way you would like day of surgery.

Log in to reply.