Activity Feed Forums Implant Tx Planning Upper Anterior Implant Position

  • Upper Anterior Implant Position

    Posted by William on December 2, 2024 at 4:25 am

    Good day everyone ! Recently I have placed an implant in the 23 region without using a guide. Patient has a prominent buccal exostosis and low smile line. However the bone apical to the bony exostosis is narrow. I made a mistake by focusing too much on getting the ideal screw channel axis and placed the implant too lingually.

    While the cervical half of the fixture is well surrounded by thick labial bone but the apical half has nearly perforated the labial bone.

    In this case, asethetic may not be a significant but in terms of the success rate of implant, but does thin or absent labial bone around the apical half could negatively impact the implant’s success rate?

    Next time I would just placed it within the bone and use an angulated screw channel to avoid mistake like this.

    Hope to hear what you all think. Thank you !

    sameerdentist replied 1 year, 4 months ago 5 Members · 6 Replies
  • 6 Replies
  • Ivan

    Administrator
    December 2, 2024 at 6:50 am

    Hello William, thank you for posting this.

    This is a very common issue and it is great that you did not actually break through the labial plate. Although it looks very thin on the CBCT in that region, if you flapped it you might find that there is still bone covering the implant and that no exposure is present. (I am not advising you to flap it!)
    I don’t think that the positioning will compromise the long term success rate 🙂

    By the way, did you do some guided bone regeneration grafting at the apical area of the site?
    I would be interested to see what an intraoral photo of the implant looks like. I invite you to share if you have one!

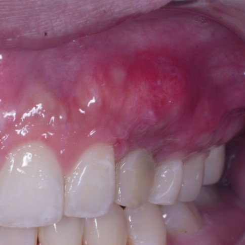
    • William

      Member
      December 14, 2024 at 3:36 pm

      Hello Ivan, thank you for your reassurance. Here are some of the post operative one week photos. Good thing is patient has a low lip line. And yes, I could not relly see any exposure and I did place some bone graft with straumann xenoflex at the apical region. Have a great weekend !

  • jostanger

    Member
    December 2, 2024 at 1:08 pm

    I agree with Ivan that you might have bone there (also agree don’t flap it lol). These things happen and we learn from them!

  • 87madrigal

    Member
    December 2, 2024 at 3:26 pm

    I have actually seen a few studies about this, where the CBCT shows no to little bone but the implant is successful even after a decade. The main factor in these cases was the about of soft tissue. It being so apically I would not worry about it, learn from it and keep going. I see no reason why it would impact the success of the case. Like Ivan said, the buccal plate doesn’t seem to be perfed so you should be fine.

  • William

    Member
    December 14, 2024 at 3:37 pm

    Thank you Joelle and Apolinar for the valuable input !

  • sameerdentist

    Member
    December 17, 2024 at 3:53 pm

    The gingiva biotype looks thick type so, I don’t think you will have problem with the implant

Log in to reply.