Activity Feed Forums Implant Tx Planning Upper full arch implant case discussion

  • Upper full arch implant case discussion

    Posted by William on May 11, 2024 at 10:01 pm

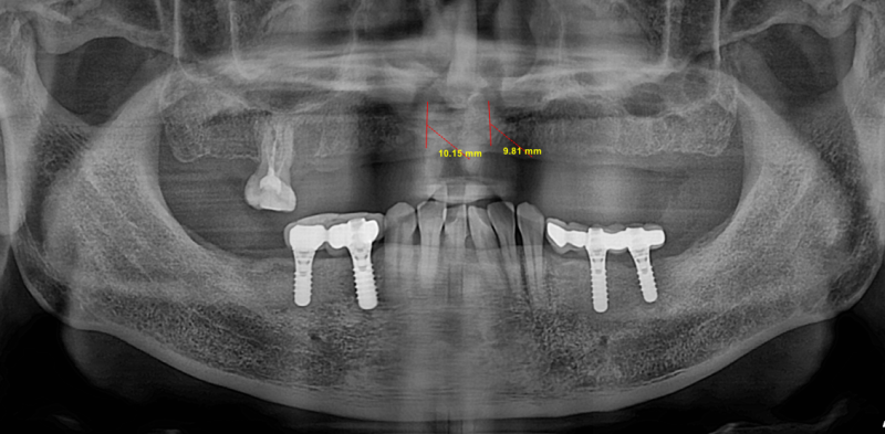
    Good day to everyone, recently a gentleman came to my practice, requesting for implants to replace his upper non retentive complete denture. After taking the CBCT, i noticed that the remaining alveolar bone width and height are just sufficient for the all on 4 concept based on literature (5mm width and 10mm height). My surgical plan is as follows

    1. Fabrication of a new upper denture to register the correct VDO and act as a reference for the surgical guide and fabrication of prosthesis after surgical phase.

    2. Ridge expansion at planned implant site with densah bur and placement of 2 units 3.7x10mm at the anterior and another 2 units of 4.1x13mm implant at the posterior region followed by bone grafting with Ethoss. Temporisation with printed resin prosthesis.

    3. Delivery of final prosthesis after 6 months.

    Questions

    – Any suggestions to improve the above treatment plan?

    – Can I simultaneously place implant, bone graft and immediate loading with temporary prosthesis for all on 4 cases?

    – Should I place an additional implant (all on 5) between 11 and 21 region with enucleation of nasopalatine neurovascular bundle and bone grafting in bid to improve the outcome?

    – What is the bone graft of choice in all on 4 cases?

    Thank you and have a pleasant day !

    Jedediah replied 1 year, 11 months ago 2 Members · 1 Reply
  • 1 Reply
  • Jedediah

    Administrator
    May 12, 2024 at 10:29 pm

    Hello William,

    Based off the limited info I see here it doesn’t appear the pt. Has sufficient bone for either of those procedures for long term success of the implants. Ridge augmentations possibly to improve success and have sufficient bone and biology for the implants or possible another route such as Zygo’s and/or ptero implants. Either way depending on your experience, skill, and comfort level this is definitely not a straight forward full arch case and has very little bone to work with for a predictable and successful outcome.

Log in to reply.