HANNAH
Study Club Member-
HANNAH posted an update a year ago
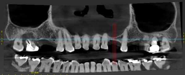
Hi all, Im trying to place a single unit #13. Due to boneloss, it looks like the buccal side is longer than the palatal side. If I were to place #13 completely submerged, 1mm subcrestal on the lingual side, it looks like it would be 2.2mm subcrestal on the buccal side. Should I shave down 1mm of the buccal bone to make it more even?
If so, do…
Ivan6 CommentsView more comments-
I would not shave down anything. If needed at time of uncover you can remove any bone around the cover screw as needed. That being said I always shoot for 2mm subcrestal to create enough running room for my crown. You want 4mm from top of tissue to implant platform. This is the cornerstone of ZBLC.
1 -
Hey Nick, thanks for your input! What does ZBLC stand for?
- View 1 reply
- View more comments
-
-
HANNAH posted an update a year ago
Hi all! My name is Hannah, and I own a small dental office in Bakersfield, CA. Implant ninja has been super helpful to me, and I look forward to learning with all of you! One question- What speed and torque do you use to drill bone for implant placement? Mine is at 55Ncm and I dont know whether thats too strong or not.
View more comments-
Hello Hannah,
So glad Implant Ninja has been super helpful. Speed typically depends on what system you are placing, for drilling speed where torque is not the issue typically 800 to 2,000rpm is the speed. You want to make sure you check the protocol with that specific system. When placing your implant that would be a different setting,…
2- View 1 reply
-
Hi Hannah,
My personal take on this:
50 Ncm torque generally works well across the board.
Starting speed for hard bone: 1,200 RPM
Starting speed for soft bone: 900 RPM
And with each subsequent drill I run the drill a little slower. Why? Minimizing speed helps to keep the temperature down and thereby cause less cell damage in your prep.
You can…
2 - View more comments
-
-
HANNAH replied to the discussion Implant treatment planning for #3,4,11,13,14 in the forum Implant Tx Planning 2 years ago
Implant treatment planning for #3,4,11,13,14
Thank you Jedediah for your detailed response!
annie and Erick -
HANNAH started the discussion Implant treatment planning for #3,4,11,13,14 in the forum Implant Tx Planning 2 years ago
Implant treatment planning for #3,4,11,13,14
Hi everyone, got some questions for y’all experts.
The patient is my father in law, who has given me freedom to do all that I recommend except he really doesnt want to extract 1,2,15,16.
After studying the CBCT, I have some thoughts for these following sites, please help me double check and see if my thought process is correct.
Thank you all…
Ivan and Jedediah -
HANNAH posted an update 2 years ago
Hi everyone,
I got some conflicting advices regarding socket preservation (4 walls are all preserved), and would like to clear it up here once and for all:
The material-
Salvin rep says using the fulfill plug- 80& synthetic calcium phosphate granules with 20% bovine collagen is sufficient. Bone will turnover in 6 months and become ready…
View more comments-
I use allograft 50/50 mix for all my socket preservation, membrane depending on if there are any Boney wall defects as you eluded to. For simple sockets 4 walls a lot of times flattening a collaplug or the like material into the shape of the socket outline, placing it over the top and a figure 8 suture will do fine. Some folks don’t even cover…
3 -
I immediately thought of you @restoredsmiles as I believe you’re teaching a grafting course in march right?
What are your thoughts on plug vs allograft.
In your opinion, Does it matter too much in a case where all 4 walls are intact?
2- View 1 reply
- View more comments
-