Jeremy
Study Club MemberForum Replies Created
-
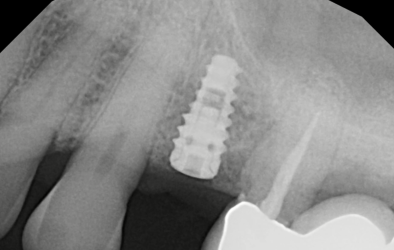
Thanks yall, a couple of follow up questions if thats ok. At what point would you decide you can’t monitor it anymore and need to intervene? And, what would cause the pin point opening/what would you do if you saw that during healing? My flap was palatal and covered the implant fully so I figured it wouldn’t be due to incomplete incision closure but ????♂️
I do have more x rays that I’ll attach here.
-
I saw him again and the tissue health looked good, no bleeding or oozing. I basically reinformed him whats going on and that we want to monitor it closely and watch for changes. We did verify correct occlusion and contacts and got a night guard made for him.
-
Thanks again for all the input, where could I find the recording of that case review zoom call?