Olga
Study Club Member-
Olga posted an update a year ago
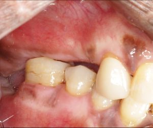
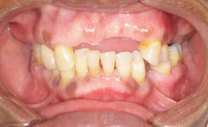
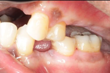
This patient wants implants. We just finished treating her periodontal disease and she is ready for the next phase, however, she has severe bite collapse. In addition, she has uneven ridge in the upper anterior, which would make it challenging esthetically. I asked her dentist to make her a partial denture but the patient kept going back…
2 Comments-
You’re right, the bite collapse and the uneven ridge in the upper anterior make things tricky. It’s understandable the patient struggled with the partial denture, especially with the adjustments.
Absolutely, orthodontics is something you should be considering, but it’s not the first step. We need to really figure out where we’re going before… Read more -
I say remove the upper remaining teeth and now the sky is the limit you can do upper denture snap on or all on X ! and that’s it cz if the pt is unreliable and had this much gim disease i don’t know about compliance and orthos ?
-
-
Olga posted an update a year ago
Hi Everyone! I’m a new periodontist looking for tips and tricks on how to get better with implant placement (especially all-on-x cases).
-
Congrats on finiishing your residency! I know it must have been intense! Where did you attend?
2- View 1 reply
-
Hey Olga, lots of tips and tricks here 🙂 Welcome!
2
-