

Jedediah
Study Club Member
-
Jedediah posted an update a year ago
The destructive consequences of periodontal disease. We have many great ways to help patients take their health back and replace their teeth but it’s so much better (and much less expensive) to just take care of your own teeth and form healthy habits from the beginning. Together as a profession, let’s please make sure that we’re properly…
-
Jedediah replied to the discussion Narrow diameter implant in the forum Implant Tx Planning a year ago
Typically, there can be very good outcomes, and there are some great research that supports shorter and/or narrow implants in specific cases. It depends on the implant system and your ability to fully torque those restorations as you do your normal diameter implants and if that’s the case they typically have a very favorable outcome. However, do…
-
Jedediah posted an update a year ago
There was two failing anterior incisors with significant infection that had to be removed and we placed two immediate implants into sites with severe bony defects. We performed simultaneously GBR/GTR using CGF/PRF protocols. After 6 months of healing we fortunately had a great outcome with ample bone.
There’s always a nervous excitement when…
-
beautiful case! How do you manage soft tissue after uncovery? Assuming you’ve migrated the vestibule coronal when doing the GBR, I struggle to tell when a FGG is needed
1- View 1 reply
-
Great case. Thanks for sharing!
1- View 1 reply
-
-
Jedediah posted an update a year ago
I haven’t taken an analog impression for these cases for quite a long time but whether it’s analog or digital we want to capture the soft tissue well for our future restorations.
View more comments-
How do you capture soft tissue in a digital impression? It seems when I remove the healing/custom healing abutment, the tissue immediately starts to collapse and I can’t maintain the soft tissue profile.
1 -
Hey Talha, yes the tissue does clapse quickly but you do have a few minutes where it is very stable, So, as soon as you remove the healing abutment you take your soft tissue digital scan and/or your put your analog impression coping in and take your impression. If you do it promptly then it is not a problem at all.
1 - View more comments
-
-
Jedediah posted an update a year ago
Regardless of your experience and how many implants you placed, it’s never a bad idea to make sure that you always get a direction indicator to keep you honest🤓👍.
-
Jedediah posted an update a year ago
Everything is not always as it may appear. This patient had fractured his upper left central incisor and the tooth needed to be extracted and grafted for a future implant. Intra orally everything around the edentulous space for #10 looked fine until we looked at the CBCT. There was a large infectious cyst space that had destroyed a lot of…
-
beautiful work!
1- View 1 reply
-
-
Jedediah posted an update a year ago
This reminded me of Two Face from Batman. This is a great example of the impact smoking has on the overall healing process.
This was an implant placed by doctors attending our LIVE surgical implant courses and this was two weeks post operative. Notice that the poorest healing is taking place on the palate where the greatest amount of smoke and…
-
Jedediah posted an update a year ago
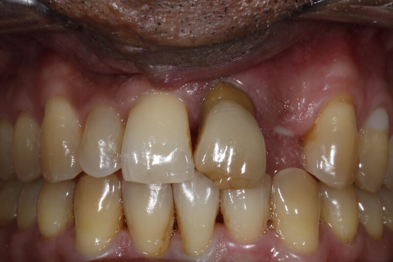
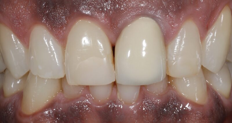
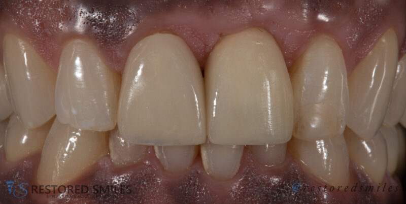
Simultaneous immediate implant placement and GBR (guided bone regeneration) utilizing CGF/PRF protocols on tooth #9 due to a failing root canal that destroyed the facial plate.
Reentry was between 5 and 6 months right after CBCT was taken and shortly after the site was restored. Upper right central incisor was crowned when the upper left…
-
Great work man! I would have done it the same way, if I had your cojones. Well done!
So of course you weren’t able to get 1* closure, did you use a non-resorbable membrane on the crest and a resorbable on the buccal?
Tell me aout the suture that goes across the membrane, I think it is a sling attached to the periosteum at the base of your…
1- View 1 reply
-
-
Jedediah replied to the discussion #13 implant in the forum Implant Tx Planning a year ago
The discrepancy in height doesn’t bother me. However, the width of the bone is definitely a concern as it is very thin. Ideally, ridge augmentation would greatly improve the outcome long-term of that implant and what could be placed in terms of size. Definitely a more narrow implant would be best with the existing bone and even better a ridge…
-
Jedediah posted an update a year ago
Gotta graft those gaps. Implant surgery has come a long way over the years along with improved surgical techniques. Even though bone graft is not required for these implants to osseointegrate it is a must for ideal healing and to preserve the patients existing gingival architecture with minimal soft and hard bone remodeling.
Here are two…
-
Hi, I placed an immediate implant on #31 with cover screw (final torque at 35Ncm) but my suture loosen up and most of the graft/membrane came out in 2 days. Can I go back and graft it or it’s best to replace it? Thank you.
1- View 2 replies
-
- Load More