Show
by
  • What in the Trauma is going on? Ok, you all wanted implants and bone grafting so here ya go…

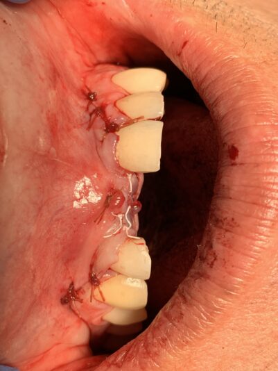
    This was a challenging case to say the least, especially when it’s your mother. She fell and fractured 3 of her front teeth amongst other things. A few hours later I had 3 teeth extracted, extracted sockets grafted, ridge augmentation complete, 8…

    Read more

    rroque29, mohsen2610 and 5 others
    7 Comments
    View more comments
    • Bro, those are some CRAZY gains

      1
      • View 1 reply
    • Is this basically done in two stages? One for graft and one for implant placement?

      Dude you bulked that up considerably. I am always cautious about overbulking to much—just due to nervousness on my end. But you totally disprove that. Do you just go HAM on the amount of allograft as long as you can get passive closure?

      2
      • View 1 reply
    • View more comments
  • Reply to Implant #8 complication

    If there is enough bone and biology around it and the body heals well should be straightforward. You’ll just have to remove bone that heals over the top which is a good problem to have and it’s pretty straightforward.

    Ivan, Erick and bsierra
  • Implants are NOT teeth, let me explain…

    Dental implants can not survive without sufficient bone and biology within the patients mouth. Teeth can survive and even thrive with as little as a 1/4 or a 1/2mm of bone present on the buccal or facial plate; an implant generally will not. It is imperative to plan the proper bone and biology to surround…

    Read more

    Love
    Justin, Jonathan and Ivan
    0 Comments
  • Very cool study here on immediate implants that I share with docs we teach and thought you all would benefit. Let me know what you think and/or if you have any questions.

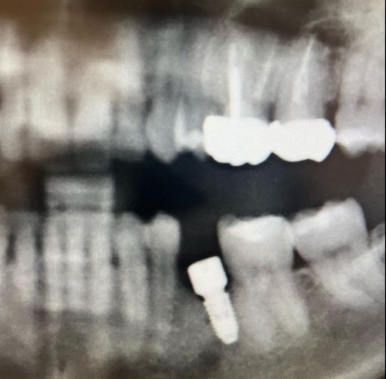
    • This case I posted last year when I was planning. Here it is at 5 months, I am concerned about the buccal plate width at the mid/apical third. Clearly should have put this more lingual. Long term predictability?

      1
      • View 1 reply
    • Immediate #8, I did graft the buccal gap, but boy did that resorb :/

      Love
      1
      • View 1 reply
  • This case was a tricky one. Sometimes, we just need to do the best with what our patients anatomy gives us. Patient was referred to me wanting an implant and there wasn’t much to work with and oh yeah, the mental foremen was smack dab in the middle of our sight.

    With the help of some buccal plate decorticating, a tenting screw, and some CGF/PRF…

    Read more

    • Wow nice. What kind of membrane and stabilization techniques did you use?

      1
      • View 1 reply
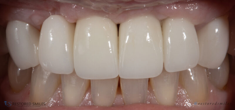
  • I’m a big fan of placing immediate implants when indicated. However, with this full arch case this patient had extreme buccal and facial undercuts which prevented immediate implant placement. 6cc’s of bone were used to graft a fair amount of the upper right and upper left quadrant using CGF protocols. 5 to 6 months later we have beautiful,…

    Read more

  • Here is an update from the previous post…

    This shows how we dealt with the complication of a buccal perforation. Luckily, the patient had sufficient width so we removed the implant and placed another implant lingual to that site with better buccal lingual agulation. We then bone grafted the site and perforation and secured a resorbable collagen…

    Read more

    Jonathan and Erick
    0 Comments
  • Looks good, right?!? Not once you see the cbct and create a larger full thickness flap. What would you do here? What are your options? This happened during one of our live surgery courses. Please leave a comment below on what you would do and a couple options we may have. After I recieve several comments I will post a follow up post next week…

    Read more

    Ulises, Erick and Jonathan
    3 Comments
    • implant position looks too buccal to me in this photo. i’d remove and start a new osteotomy and sink the implant to the level of the lingual bone

      1
      • View 1 reply
    • Any other comments???

    • Reply to #20, 19 grafting

      Lots of different options and ways you can do this procedure but you need to remember what is best in your hands and what you are best trained and comfortable to do. Reinforced ptfe could be done but is much more extensive of a procedure and tissue manipulation are key for success and you would need to keep that in for a minimum of 5 to 6…

      Read more

    • This was a tough case with a large through-and-through defect on an upper central incisor. After the area was throughly cleansed I grafted using mineralized cortical particulate with CGF/PRF protocols. A thick collegen resorbable membrane was secured with membrane stabilizing sutures and primary closure achieved with a nonresorbable PTFE…

      Read more

      Jonathan and Dr.
      0 Comments
    • Load More