Ulises
Study Club Member-
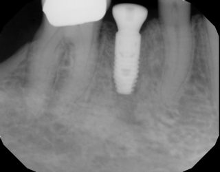
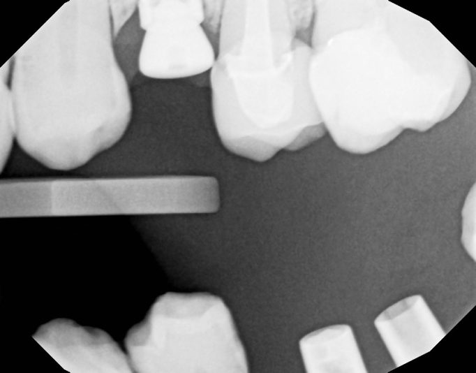
Hey guys, I have a restorative question. This patient is from Argentina and has a TQu4tro Tip implant, #12. (also manufactured in Argentina). When the patient presented to my practice 1 year ago it had a temporary crown which broke. I removed it an placed an Implant club healing abutment. I reached out to the implant manufacturer to ask…
Ivan, Can and Jedediah3 CommentsView more comments-
@ivan-chicchon are you able to answer this one? @ninjacayleen can you check with Ivan? Thanks.
1 -
@rumelchor Hi Dr. Uly, I sent you a direct message for the answer to this question. Please check your inbox!
- View more comments
-
-
Ulises replied to the discussion Infected #8, Pt wants implant in the forum Implant Tx Planning 2 years ago
Great case! I learned a lot from it. Thanks for sharing
Erick -
Ulises posted an update 3 years ago
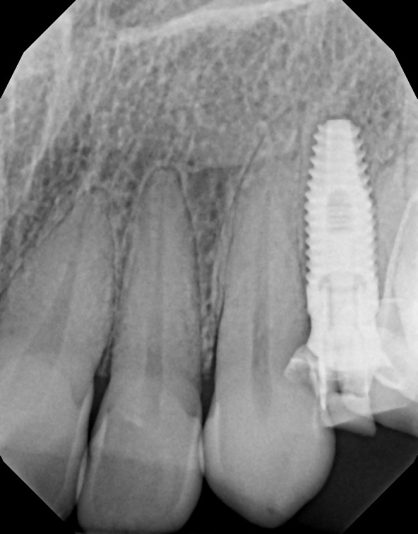
Hey guys just wanted to get to know your thoughts on what I can do to improve. This is a 78 yr old patient with controlled diabetes/hypothyroid/high BP. She takes her medications regularly and reports to be controlled. #29 was extracted due to fracture in October 2022 with bone graft. Implant Astra Osseospeed EV size 3.6×9 was placed in…
-
I created a deeper osteotomy today and placed a larger longer implant after removing the failed implant and thoroughly curetting and irrigating with CHX. Any guidance and feedback is welcome.
- View 2 replies
-
-
Ulises posted an update 3 years ago
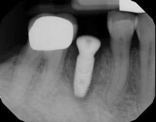
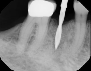
I placed this implant 8 months ago. It was immediate placement. I did the uncovery today. The pre op radiograph shows some loose bone graft. I didn’t really notice anything off upon flapping . ISQ 77. Is it something I should be concerned about?
-
So I suspect the implant was placed in cortical bone at the top and the lack of blood supply caused this die off. It could also be the lack of KT thickness. This is why I routinely place my implant 2mm subcrestal. At this point I don’t think there’s anything that can be done. It’ll be ok, just something to remember for next time.
-
It doesn’t look like it will be a problem. Some of the graft turns over into natural bone–but some (like the graft stuck in soft tissue shown above your implant) will not turn over. It’s ok.
-
-
Ulises posted an update 3 years ago
3 years ago (edited)
Hey guy, I’m still pretty new to implants. I’ve placed about 30. Looking for suggestions to improve. This is my most recent one. I chose 9 mm implant due to the proximity to the nerve. My main goal was to engage natural bone beyond the apex of the socket without getting too close to the nerve. I used the Densah burs, mostly in OD mode. and…
-
Ulises posted an update 3 years ago
Hey whats everyone’s opinion on using collagen membranes after socket preservation where the site heals via 2ndary intent?
-
Is there a tool or technique to prevent the membrane from folding over itself
-
Ive been reading the Pikos bone grafting book and he shows examples of just using stuff like oraplug or colla plug in the extraction sockets. He then uses a biopsy punch of the palate and sutures it on top. So basically bone graft then a small piece ( uses the biopsy punch) of collaplug then biopsy punch again of keratinized palatal tissue… Read more
- View 3 replies
-