ANDREW
Study Club Member-
ANDREW posted an update a year ago
a year ago (edited)
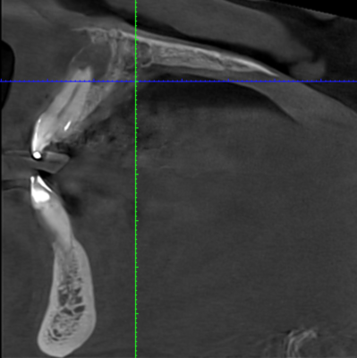
Case I got yesterday. Patient really wants an implant at #18 site. Fun case! ~60yo female, non-smoker, no DM, no osteoporosis or any other bone-related diseases.
Ivan, Erick and Jedediah4 CommentsView more comments-
How does one clean that PARL adequately, avoid disturbing the IA, and graft reliably. That is a fun case!
1- View 1 reply
-
Looks like fun. Once that site is cleaned out thoroughly It should heal fairly predictively. Keep us updated.😊👍
- View more comments
-
-
ANDREW replied to the discussion Infected #8, Pt wants implant in the forum Implant Tx Planning 2 years ago
I will get one for you, but it looks great! I’ll snap a new ct soon.
Erick and Jedediah -
ANDREW replied to the discussion Infected #8, Pt wants implant in the forum Implant Tx Planning 2 years ago
So here is the result from the surgery. I was actually pretty surprised how simple it was. I will say, the soft tissue around where the infection had eaten through the bone and was into the soft tissue was a monster to try and detach from the periosteum. Anyways, here’s how it ended up. Pretty good result imo. We placed the mixture you…
-
ANDREW replied to the discussion Infected #8, Pt wants implant in the forum Implant Tx Planning 2 years ago
Question about the bone graft-which mix would you use in a case like this and how long for healing time? I assume 4-6 months, she’s an older pt so I’d lean more toward 6 probably but wanted to see how long you typically let the graft sit.
-
ANDREW replied to the discussion Infected #8, Pt wants implant in the forum Implant Tx Planning 2 years ago
Hey thanks for your reply! I’m going to look into that, very interesting!
-
ANDREW started the discussion Infected #8, Pt wants implant in the forum Implant Tx Planning 2 years ago
How would you guys proceed with this case? I am assuming we will need to rebuild the facial wall entirely. Thought about using a titanium mesh membrane tacked down after scrubbing the remaining socket out and placing pt on antibiotics. Question is should we go ahead and graft or wait to heal before grafting and membrane placement?
Erick and Seth