Show
by
  • Adis posted an update a year ago

    a year ago

    I have a full arch fixed case mid-restorative phase and would like feedback from the community and Drs. Ivan and Jed.

    I did wax rims and VDO/bite last visit, now the lab sent back a U/L wax trying. The bite is off on the L which is fine and needs a reset, my question is on proper lip support vs. a very large anterior cantilever of the teeth…

    Read more

    Can, Jedediah and Cayleen
    2 Comments
    • I wouldn’t be too concerned out the anterior cantilever effect and it has great support with all splinted implants. However, looks like he has plenty of lip suppor so you could splint the difference and it’s a little bit easier for the lab to make a very cleanable prosthesis and it convex with not concavities. That is most important is not the…

      Read more

      1
      • Thanks for the reply, I will have them reset the max. teeth to about 1/2 the way out, then place the lowers to match and do another try-in before doing the PMMA.

        1
      • Reply to Placed first implant (#4) solo, 2 weeks later looks like it's failing

        Any chance you overheated the bone during osteotomy prep? You could put patient on CHX and wait to take an xray at 1 month post placement to check on the bone, all may not be lost yet. If it looks worse, you can still remove and replace immediate or graft and delayed.

        Jedediah
      • Adis posted an update a year ago

        a year ago

        I’m starting to plan this case for a full arch fixed mandibular implant prosthesis. She has great bone between the mental foramen once reduction is complete.

        She has a severe deep bite and bites into the incisive papilla with the lower incisors. She usually postures forward and when you tell her to bite she’s on the incisal edges.

        How do you…

        Read more

        Can and Jedediah
        3 Comments
        • It is best to achieve their VDO and VDR ideally before you start if it is not already established through full or partial dentures depending on the situation. You can use radiographic markers as CBCT is taken to help better plan those cases if needed.

          • View 2 replies
      • This is a 1st time complaint from a pt for me: she says that she can HEAR and FEEL the saliva come through around the #8 MUA of an all on 4. She didn’t have this issue in her pmma which the lab was supposed to copy, and she doesn’t feel it around any other implants. This is a Zirconia fill arch prosthesis and convex on the tissue side.

        How much…

        Read more

        0:35

        20240402_155050

        0:35

        Jedediah, Alvin and Erick
        3 Comments
        • Hey Adis. I know that’s gotta be frustrating. Especially when the trial PMMA was good but to be honest, it just seems like it needs proper tissue pressure and there’s just too much space there which is causing that. You could set expectations and see if the patient gets used to it and then it’s fine or what would be best as to Improve the…

          Read more

          • Thank you for the response. I’ve already had the talk with the patient but she keeps coming back with the other side doesn’t do that. I’ll talk with the lab next.

            Is there such a thing as ideal tissue pressure? Do we want it to blanch when seating? And do gum contours change over time? This case is about 1 month in, but what to do if this occurs…

            Read more

            1
            • View 1 reply
        • Adis posted an update 2 years ago

          2 years ago (edited)

          Treatment plan question: #6 is pretty much toast as it stands now, he can floss all the way through it.

          I gave him 3 possible fixed choices –

          1. Crown lengthening, endo/post #6 and new bridge same as before – root is a mile long so that’s in our favor, but still guarded.

          2. EXT #6 and new FPD 3-p-p-p-7-8, but that’s looong.

          3. Section FPD at…

          Read more

          Jedediah and Erick
          1 Comment
          • The third option is definitely preferable if the patient is able to do that. Bone in those sites look good and when it comes to tooth number six if you do immediate implants often and most likely you would do an immediate in that case but if it seems a little bit out of your scope, then there’s no problem, grafting it and coming back and…

            Read more

          • I extracted #5 on this 30yo almost 5 years ago. I remember the tooth was bombed out and so was the buccal plate with soft tissue ingrown all the way to the palatal bone. I did the best I could to clean the socket and graft at the time but I don’t think I got much to stick. The 5 years since also didn’t help the matter.

            How do you guys approach…

            Read more

            Love
            Ivan, Dao and 2 others
            3 Comments
            • 0:12

              20240307_164509

              0:12

              1
              • View 1 reply
            • You will definitely want to go in there and clean that site and perform a ridge augmentation prior to implant placement. If patient heals and responds well you can should be able to place a short implnat to avoid a sinus lift.

              From what I can see I wouldn’t place an implnat and perform a simultaneous ridge augmentation as it won’t be as…

              Read more

            • I did the uncovery on this case yesterday. My question is about approximating the flap margins with healing abutments involved. He had really tall and thick tissue, most of these are 7mm tall healing abutments and some barely poke through.

              Do you recommend leaving the gap to fill in, try to thin/undermine the tissue, or even do a…

              Read more

              Love
              Jedediah, Allan and Ivan
              8 Comments
              View more comments
              • Is the pt getting a hybrid? I would just make sure you can get parts that tall. If not then u may need to go back and thin the tissue. Keep us updated.

                1
                • Yes U/L FP3s. He had been without teeth for years and smokes so I just buried everything and told it’ll be another 6 months before teeth he was cool with that.

                  I’m pretty sure they have MUAs this tall although I’ve never used them.

                  I guess another question is would anyone have impressed at this uncovery appointment? Or wait for healing then…

                  Read more

                  1
                  • View 1 reply
                • View more comments
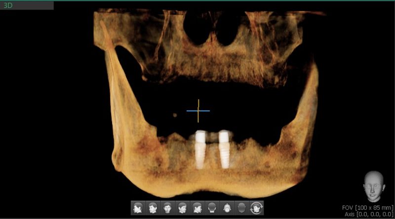
              • Extracted root tip #22, did 3-4mm of Alveoloplasty in lower incisor area and placed 2 implants yesterday. Uneventful procedure, not really excessive bleeding. 50Ncm for both implants so I placed locator attachments and did a Mucropren Soft liner in relief holes.

                On postop call last night and he said after he ate he took his denture out…

                Read more

                Wow
                Jedediah, Cayleen and 2 others
                7 Comments
                View more comments
                • DUDE this is enough to give me some instant grey hair. Sounds like this one was the perfect storm. I am glad that you managed it really well. Were you nervous? Sounds like you handled that like a pro. How is the patient now?

                  1
                  • View 1 reply
                • Way to go. Sounds like you handle it very well. Always something to learn from this for all of us to get better for our own patients and others. I’m always skeptical of the medical history that it’s accurate, so I always ask my own questions, in addition, such as if they smoke or diabetic, or on any medication’s. Always a good habit to get… Read more

                  1
                  • View 2 replies
                • View more comments
              • Was the first Zoom meeting recorded? I missed it 😟

                Love
                Jedediah and Ivan
                2 Comments