Dr.
Study Club Member-
Dr. started the discussion #20 implant in the forum Complications a year ago
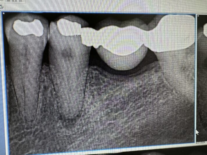
Hi, this implant was placed in June 2024. I have 3PAs (one from day of placement, one month later, and 9 month later). The intraoral picture of the soft tissue is from yesterday and tissue looks great… patient has no discomfort/pain either. She did have some discomfort between 2-3rd week after placement but subsided after taking…
chris -
Dr. replied to the discussion Prolia and medical hx in the forum Implant Tx Planning a year ago
Thanks everyone for your input
-
Dr. replied to the discussion Vertical grafting or not? in the forum Implant Tx Planning a year ago
Thanks for your input!
jostanger -
Dr. started the discussion Prolia and medical hx in the forum Implant Tx Planning a year ago
I have a 76y.o. female patient who is currently on prolia, actemra and prednisone for a year or so. She was dx with giant cell arteritis this past year which prompted her to be on these meds. She needs an extraction of #19. She has had implants in the past so she is interested in an implant to replace this tooth. Conveniently enough,…
-
Dr. started the discussion Vertical grafting or not? in the forum Implant Tx Planning a year ago
Hi,
I’m planning for #30 implant (5×8.5mm virtually planned here). My concern is there is a vertical bone deficiency (about 3.62mm depression compared to the adjacent bone peaks) and that without vertical augmentation, the implant appears to be too submerged…which also appears to lead to a greater than ideal distance from the gingiva to the…
-
Dr. replied to the discussion #10 implant site in the forum Implant Tx Planning a year ago
Thank you everyone for your input and help!
dtberat_dds, Ivan and ladalle -
Dr. started the discussion #10 implant site in the forum Implant Tx Planning a year ago
#10 is planned for a 3.2x10mm implant. The socket was grafted about 4 months prior to the CBCT. I skewed it more towards the palate to ensure the 1.5mm buccal bone (which I believe is more important to have that thickness on buccal rather than the palate). I do have 2+mm buccal bone in the incisal 4mm of the implant. My concern still is…
Jedediah and Ivan -
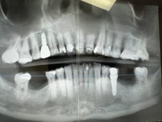
Dr. started the discussion #20, 19 grafting in the forum Implant Tx Planning a year ago
#20 is planned for an extraction. Patient wants to know fixed options so my thought is bridge #20-x-x-18 (not the greatest option due to bone loss on both abutment teeth) or implant #20 and #19. The ridge width around #20 is naturally narrow (6.5-7mm – virtual implant I placed Is 3.5×8.5mm). #20 also has 4mm buccal recession/dehiscence…
Jedediah -
Dr. started the discussion #13 implant in the forum Implant Tx Planning a year ago
Hi everyone. The virtually planned implant #13 (3.8x12mm BH tapered pro) is considerably more submerged vs #12 implant (about 4mm difference). Would there be any serious long term issues with this large discrepancy between adjacent implant platforms? My initial thought is to GBR the buccal first so it would “fatten up” the thin crestal…
Rana and Jedediah -
Dr. started the discussion #19 in the forum Implant Tx Planning 2 years ago
Hi,
These are images of a recent scan.
This is 5 months after #19 implant was explanted (failed 2 weeks after placement) and simultaneous grafting was done.
I have currently planned for a Hiossen 4.5x7mm with buccal veneer grafting. This will be placed relatively deep due to ridge atrophy. What are your thoughts on this deep placement…
Jedediah, Hanna and Erick - Load More